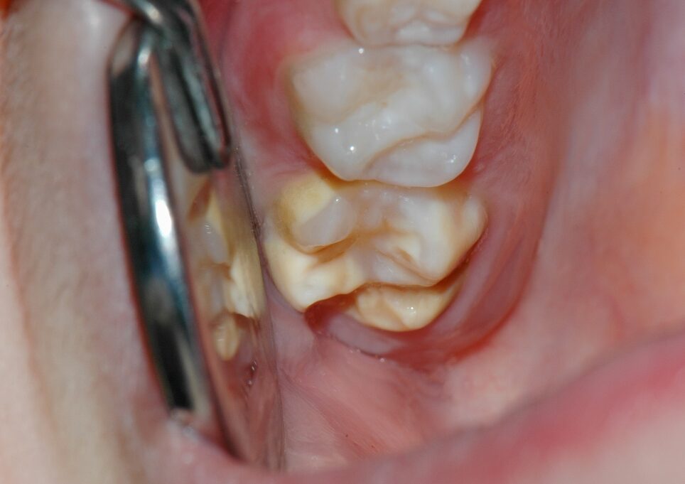
Le sigillature dei molari permanenti
La SIGILLATURA dei denti è una procedura dentistica raccomandata per prevenire la formazione di carie, da eseguire non appena i denti da latte lasciano il posto a quelli permanenti. La sigillatura dei denti è consigliata, in particolare, per prevenire lo sviluppo di processi cariogeni nei molari permanenti. Difatti, questi denti sono più esposti al rischio…
LEGGI TUTTO






